maintenant ! Nous vous assurons
tous les soins nécessaires.
Réservation & Consultation
Soins dentaires Casablanca
Votre centre de soins dentaires Abdelmoumen Casablanca.
Que ça soit pour un détartrage, une extraction d’une dent, ou autre. Notre centre dentaire Abdelmoumen Casablanca vous offre des soins dentaires personnalisés depuis plus de 22 ans. Grâce à leur expertise, nos dentistes à Casablanca vous apportent des conseils fiables pour garder vos dents en bonne santé.
Parce que nous nous soucions de votre santé dentaire, des soins sur mesure vous sont présentés tout au long du processus et un suivi continu pour votre confort.
Il n’est jamais trop tard pour avoir un beau sourire !
Ils nous ont fait confiance
Dans notre centre de soins dentaires Casablanca, nous vous garantissons des résultats satisfaisants et conformes à toutes vos exigences.
Témoignages de nos patients
Notre spécialiste Dr MIRALI Ilham est noté 4.8 étoiles sur Google Map. Merci de votre confiance.
Dès la première consultation, elle prend le temps d’écouter attentivement, d’expliquer clairement chaque étape des soins, et de répondre à toutes les questions avec patience.
La qualité du travail est remarquable : gestes précis, grande attention au confort du patient et respect scrupuleux des règles d’hygiène.
L’équipe qui l’accompagne est souriante, dynamique et toujours prête à aider, ce qui rend chaque visite encore plus agréable.
Grâce à cette ambiance chaleureuse et à l’expertise du Dr Ilham MIRALI, chaque rendez-vous se déroule dans une atmosphère sereine, ce qui est particulièrement appréciable pour les personnes habituellement anxieuses chez le dentiste.
Je suis pleinement satisfaite.
Je la recommande vivement
Bravo
Je suis satisfaite et je le recommande vivement .
J ai pas senti la douleur. Tout le staff est sympa avec des qualités des professionnalismes si remarquables.
Bravo à toute l équipe.
Je suis très satisfaite des résultats des quelques séances avec le Dr Douaa, et surtout du temps qu'elle a pris pour expliquer ce qu'il faut faire.
Je recommande vivement le Dr Douaa à tous ceux qui recherchent un bon dentiste doté d'un excellent talent.
Equipe professionnelle.???
1: Bridge en Zicone eti implant en ce qui
2/Onloy orthodontie et blanchiment enc ce qui concerne mon fils
Il y a lieu de signaler la réactivité , le suivi et le professionnalisme de cette jeune équipe . J
un grand merci pour le professionnalisme de toute l'équipe.
Honnêtement je suis très satisfait des résultats.
Accueil chaleureux de la réception avec un suivi minutieux des rendez-vous.
Rencontrez les meilleurs médecins à Casablanca !
Dr. ABBASSI Mohamed Kamal
Orthodontiste depuis 25 ans et CEO du centre dentaire multidisciplinaireDr. MIRALI Ilham
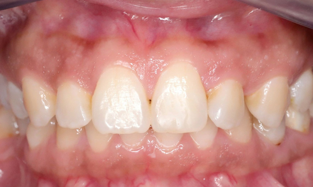
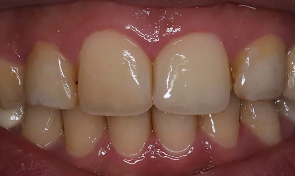
Chirurgienne dentiste spécialisée en Paro-implantologie et esthétique dentaire depuis 23 ansDécouvrez notre centre en images
Votre santé bucco-dentaire est notre priorité. Chez notre centre dentaire, nous respectons les normes les plus strictes en matière d'hygiène pour assurer votre sécurité et votre confort.
Soins et services
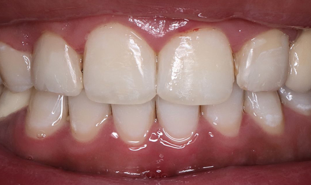
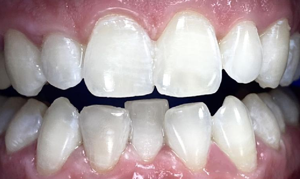
Blanchiment dentaire
Chirurgie


















